Documents échographie pelvienne -
Dons d'ovocytes
Publié le 31/07/2024
L’échographie pelvienne fait partie intégrante de l’examen gynécologique.
Elle est en plein développement avec l’amélioration des échographes et la mise en place de nouvelles techniques d’exploration pelvienne.
Il s’agit d’une technique par ultrasons. Ce n’est pas un examen irradiant. Il est en général indolore
Il s’agit d’une échographie qui peut se faire par voie abdominale et/ou vaginale.
Elle permet d’analyser la vessie, l’utérus, les ovaires ainsi que la partie basse de l’intestin. On l’utilise dans le cadre du bilan de saignements utérins, de trouble du cycle, de douleur pelvienne, de masse pelvienne, et de bilan d’endométriose.
Elle permet de réaliser un premier bilan de réserve ovarienne et cavitaire dans le cadre de la PMA. L’échographie 3D permet la reconstruction dans les 3Dimensions de la cavité utérine ou d’une masse pelvienne.



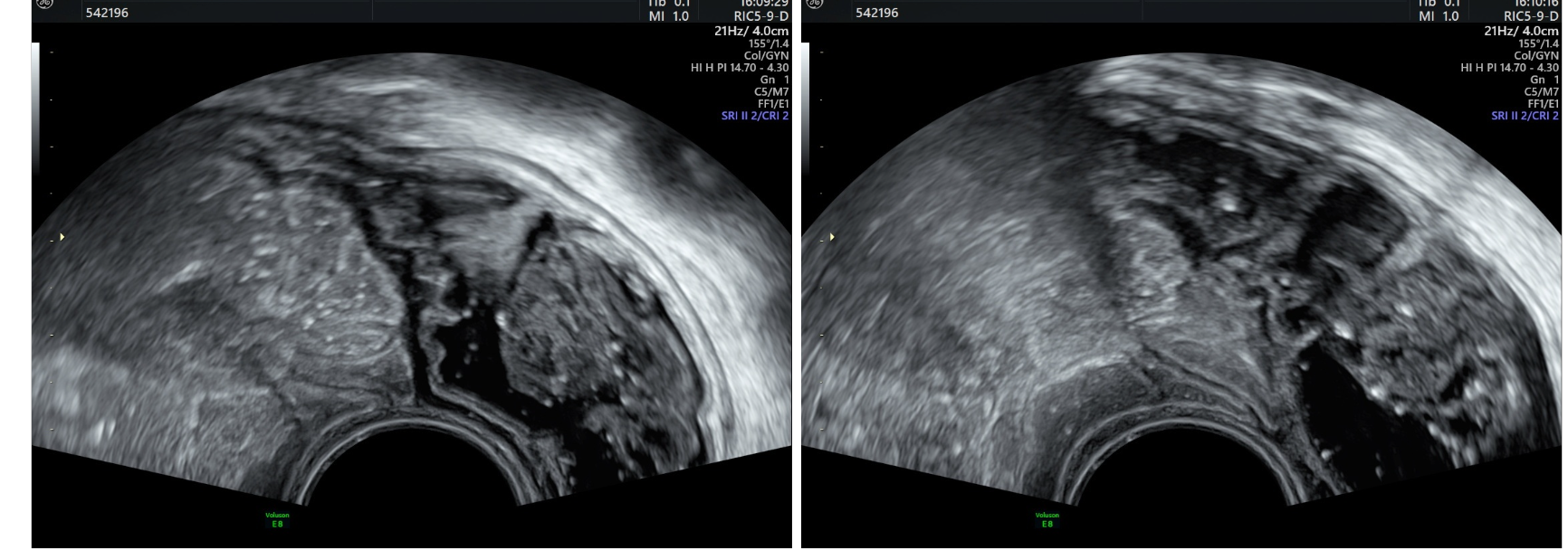
L’hystérosonographie est une échographie endovaginale combinée à l’instillation de liquide dans la cavité utérine.
Elle permet d’étudier les anomalies endocavitaires de type fibrome, polypes ou synéchies.
Elle se fait de l’arrêt des règles à l’ovulation ou quelque soit le moment du cycle si la patiente est sous contraception ou ménopausée. On réalise en premier un prélèvement vaginal et une échographie pelvienne pour éliminer une contre indication à l’examen. Puis après désinfection du col à la bétadine* ou au dakin* si allergie, on introduit un cathéter souple de type ELLIOCATH* dans le col puis on injecte du sérum physiologique dans la cavité
Cet examen est peu douloureux. Il est possible reprendre un Doliprane 1000 ou 1 spasfon 1h avant l’examen.



Il s’agit du même examen que l’hystérosonographie sauf que l’on injecte une sorte de gel (EXEMGEL*) qui permet l’exploration de la cavité utérine et des trompes. Il est souvent prescrit dans le cadre du bilan d’infertilité et avant la prise en charge en PMA.



Elle Permet l’exploration des atteintes digestives basse (rectum, sigmoïdes) dans l’endométriose. C’est un examen de 2ème attention.
En pratique, après un lavement la veille et avant l’examen, on injecte de l’eau dans le rectum soit avec une seringue soit par une sonde endorectale.
L’examen donne une très bonne précision sur la localisation, la taille et l’envahissement de la paroi digestive. Ces informations sont essentielles pour le chirurgien.
